Banners
Banners

Joselito ha comenzado con la rehabilitación

Viernes, 11 Oct 2013    México, D.F.    Redacción | Foto: Prensa JA   
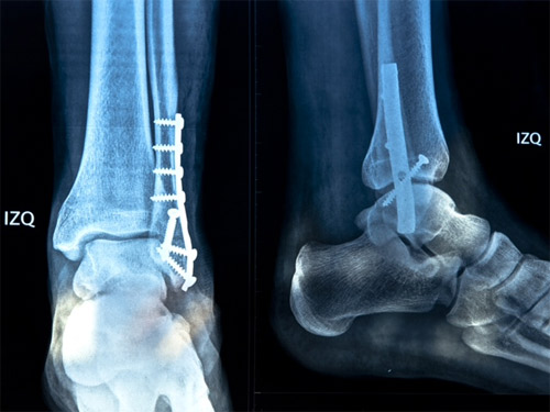
La radiografía luego de la intervención quirúrgica
De inmediato, el matador mexicano Joselito Adame ha comenzado en Madrid con el proceso de rehabilitación, luego de la cirugía a la que fue sometido la tarde del pasado lunes en la Clínica Quirón San José, en la que se corrigió la fractura de peroné izquierdo que sufrió el sábado en Las Ventas.

La administración del espada hidrocálido ha compartido a los medios la imagen con la radiografía que le fue tomada tras la intervención quirúrgica, y que se anexa a esta nota, en la que se aprecia la placa modelada atornillada interfragmentada que le fue colocada en la zona de la fractura.

Adame ha comenzado la rehabilitación con sesiones de fisioterapia y todo va por el camino adecuado. Todavía no se ha dado a conocer el tiempo de recuperación y la posible reaparición, aunque el torero tiene ya compromisos para el mes de noviembre luego de los que ha perdido en octubre; todo dependerá de la evolución que vaya teniendo.


Noticias Relacionadas







Comparte la noticia